0
+
years of combined experience
0
+
Happy Patients
0
+
Dental Treatments
0
+
Dentists
Dental trauma refers to injuries affecting the teeth, gums, or supporting structures caused by accidents or external forces. At Klinik Pergigian Alam Impian, we provide comprehensive care for both adults and children experiencing dental trauma, ensuring prompt treatment and long-term solutions.
years of combined experience
Happy Patients
Dental Treatments
Dentists
Dental trauma encompasses a wide range of injuries, from minor chips to complete tooth loss. Common incidents include falls, sports injuries, car accidents, or other high-impact events.
Immediate treatment is crucial to prevent complications such as infection, misalignment, or permanent tooth loss
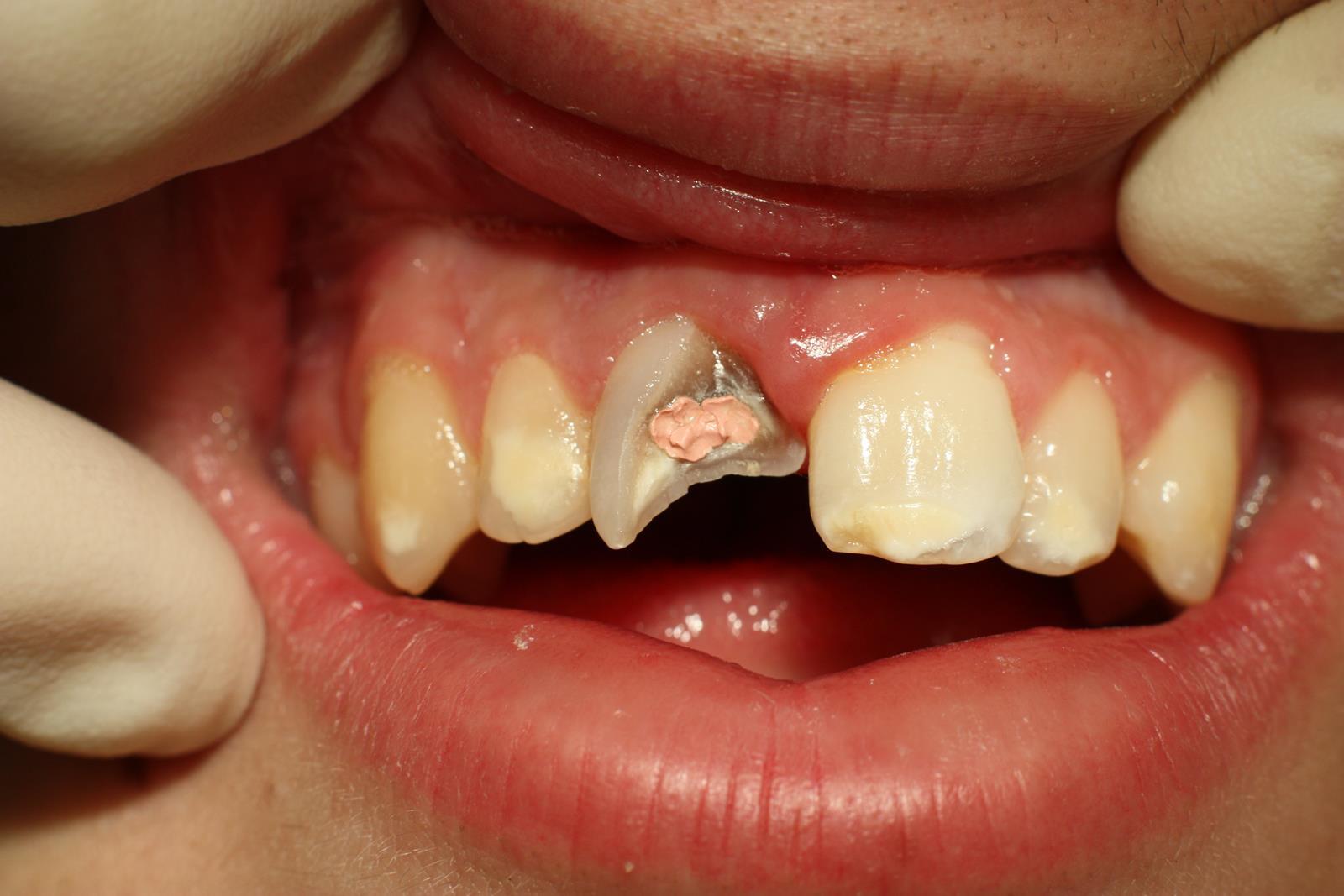
Tooth fractures occur when a tooth cracks or breaks due to impact. Fractures range from minor enamel cracks to severe breaks involving the dentin and pulp.
Trauma can push a tooth out of its normal position:
A knocked-out tooth is a dental emergency. Immediate re-implantation is possible if the tooth is preserved correctly and brought to the clinic quickly.
Trauma often includes cuts, bruises, or lacerations to the gums, lips, or cheeks. Prompt care ensures proper healing and prevents infection.
Dental trauma is classified based on the nature and severity of the injury:

Minor enamel cracks or soft tissue bruises requiring basic treatment.

Fractures exposing the pulp, requiring root canal therapy or crowns.

Avulsions, extensive fractures, or multiple injuries needing surgical intervention.
Dental trauma is classified based on the nature and severity of the injury:
Contact sports like football or martial arts are leading causes of dental injuries. Wearing protective mouthguards minimizes risks.
Slips, trips, and falls are common among children and seniors, often leading to dental trauma.
High-impact collisions can result in severe injuries to the mouth, teeth, and jaws.
Simple activities like chewing hard foods or using teeth as tools can cause unexpected fractures.
Understanding common causes of dental trauma can help reduce risks.
Children are particularly vulnerable to dental injuries due to their active lifestyles and developing motor skills. Falls during playtime or accidents in school are common causes.
Untreated pediatric dental trauma can affect the development of permanent teeth. Immediate evaluation ensures appropriate treatment, whether for baby teeth or growing permanent teeth.
Our clinic offers comprehensive solutions tailored to your specific dental trauma:
Our team prioritizes emergency cases to relieve pain and stabilize the injury. Knocked-out teeth or severe pain? Visit us immediately for fast treatment.
When the pulp is exposed or infected, root canal therapy saves the tooth while preventing further complications.
Dr. Navasheilla Retna, with over 10 years of expertise in pediatric dentistry, ensures gentle and effective care for children. Sedation options make the process stress-free.
Severe cases involving root fractures or jaw injuries may require minor oral surgery for optimal outcomes.
Modern diagnostics, including CBCT scans, ensure precision.
Expert pediatric care led by Dr. Navasheilla for young patients.
Tailored treatment plans addressing your unique needs.
Don’t let dental trauma impact your quality of life. Contact Klinik Pergigian Alam Impian today to schedule a consultation or emergency care. We’re here to restore your smile and confidence.